The app for independent voices

She was 39.

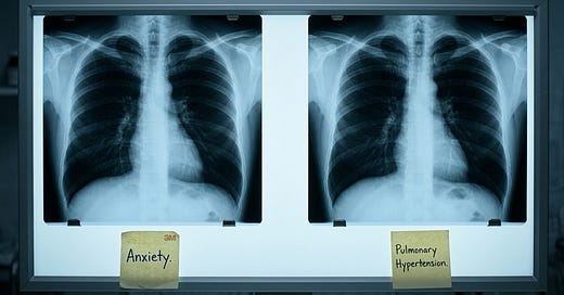
Short of breath for a year and half.

Three PCP visits, two urgent cares, one ED visit.

Normal chest X-ray every time. Normal oxygen sats every time.

The working diagnosis was anxiety.

Nobody ordered an echocardiogram.

Her pulmonary artery pressures were severely elevated. She had pulmonary arterial hypertension.

In the US, more than half of PAH patients get at least one wrong diagnosis first. A delay longer than two years carries a measurable increase in mortality risk.

New on Lungspan — what a pulmonologist actually checks when shortness of breath keeps getting called anxiety. The tests that get skipped. The conditions that get missed. And what to ask for if you've been here.

Your Shortness of Breath Is Not Anxiety Until a Pulmonologist Says It Is
Apr 4
at
7:47 PM
Relevant people

Log in or sign up

Join the most interesting and insightful discussions.